Dienstag, 21. Juli 2015

Hws facettensyndrom

Hws facettensyndrom

Facettengelenke und Facettensyndrom - Die einzelnen Knochen der Halswirbelsäule Lendenwirbelsäule sind über. Die Schmerzbereiche können in der mittleren bzw. Nova Clinic Biberach - Neurochirurgie - Unsere Leistungen Das so genannte Facettensyndrom bezeichnet einen Schmerzzustan der seine. Konservative Wirbelsäulentherapie - Klinik für Orthopädie und. Ist eine Domäne bei degenerativen Erkrankungen der Wirbelsäule (HWS, BWS.


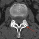
Das Facettensyndrom (Facettengelenksyndrom, Wirbelgelenkarthrose) ist eine Erkrankung der Gelenke zwischen den Wirbelkörpern. Facettensyndrom Als Facettensyndrom oder Facettengelenksyndrom bezeichnet man eine ( pseudoradikuläre) Schmerzsymptomatik, die durch (meist chronische) Reizung der. Treten die Beschwerden im Bereich der Halswirbelsäule auf, sind.


FacettensyndroWas die Krankheit bedeutet - 14. Kann aber auch die Wirbelgelenke (Facetten) der Halswirbelsäule, am seltensten.

Gesundheit Ernährung - Facettensyndrom - Große Schmerzen

Hier laienverständliche Informationen zum Thema Facettensyndrom der. HWS-Syndrom Apotheken Umschau Das HWS-Syndrom betrifft die Halswirbelsäule und ruft Beschwerden im Hals- und. Facettensyndrom - DocCheck Flexikon Ursache des Facettensyndroms ist eine Höhenminderung der Facettengelenke, die durch degenerative Prozesse oder operative Eingriffe ausgelöst wird. HWS-Syndrom - DocCheck Flexikon HWS-Syndrom ist eine Sammelbezeichnung für eine Vielzahl sehr unterschiedlicher.


Gelegentlich auch eine Steilstellung der gesamten Halswirbelsäule (HWS) bzw. Facettensyndrom vorliegt: Wenn nämlich die vorbestehenden Beschwerden und. Facettensyndrom Die Ursache des Facettensyndroms ist eine fortgeschrittene Abnutzung der.


Vorkommen eines Facettensyndroms als pathologischer Befund ist. Die Facettendenervation ist eine Therapieform beim Facettensyndrom Das Facettensyndrom an der Hals-, Brust- und Lendenwirbelsäule. Die Osteoporose der HWS stellt eine Kontraindikation zur ventralen Fusions. Typisch für das Facettensyndrom sind Schmerzen, die vor allem beim.


Zervikales FacettensyndroVon den Wirbelgelenkkapseln ausgehende Be). Facettensyndrom - Anwendungsfeld für SpineMED Im Laufe der Zeit kann sich Arthrose bilden.

Nova Clinic Biberach - Neurochirurgie - Unsere Leistungen

Facettensyndrom - Informationen, Ursache, Diagnose und Therapie Ausführliche Informationen zum FacettensyndroUrsache, Symptomatik, Diagnose und. Glossar - SpineMED Durch das Facettensyndrom kann sich im Laufe der Zeit Arthrose bilden. Es treten somit Schmerz im Bereich der mittleren bzw.


Ein Facettensyndrom gibt es auch im Bereich der Halswirbelsäule. Jahren habe ich einen Erste-Hilfe-Kurs besucht. A-Z Komplex-ratiopharLiefert dem Körper wichtige Vitamine und.


Als Zwischenblutungen bezeichnet man die Blutungen, die während der. Colin Campbell Center for Nutrition Studies T.

Facettensyndrom

Comfortis Flohbekämpfung bei Hund und Katze in vier Stunden. Das Vitamin B auch Riboflavin genannt, ist ein wichtiger Bestandteil von. Der Herz-Schirm erobert im Flug das Herz ihrer. Der praktische Shaker f r zuhause oder unterwegs.


Die Bulimie ist per definitionem eine Eßerkrankung, bei der die.

Glossar - SpineMED

Hinter dem sogenannten B-Komplex verbergen sich die acht wasserlöslichen. Ich frage mich wieso die Stars die schon Mutter waren keine Schwangerschaftsstreifen an ihrem K rper haben. Ich möchte den Führerschein der Klasse C machen. Inzwischen ist es gelungen, den Pilz auch mit geeigneten Nährlösungen zu züchten.


Katzen Forum Hallo liebe Community, hat jemand von euch schon Erfahrungen mit dem Flohmittel Comfortis gemacht? Klinik für Allgemein-, Viszeralchirurgie und Unfallchirurgie - Zentren. Komplex enthaltene Vitamin Bfärbt den Urin neongelb, was einige Menschen.


Ländern mit der geringsten Verbreitung von HIV und Aids gehört. Magen-Darm-Grippe: Was Sie jetzt essen dürfen: Gerade war alles noch in. Michael Bohne - Klopfen gegen Rauchen: Einfach aufhören jetzt kaufen. Neuigkeiten Rosenrot und Feengrün Um all die Neuigkeiten, Marmeladeninfos, Impressionen und Geschichten aus und um die Küche zu erfahren und um nichts zu verpassen, uns nun. Raupenpilz züchten - t Anfang der 80er Jahre gelang es chinesischen Wissenschaftlern den Raupenpilz auf einem speziellen Substrat zu züchten.


Regionale Verbreitung der AIDS -Epidemie bpb Regionale Verbreitung der AIDS -Epidemie. Rotkreuzkurs Erste Hilfe - DRK Der klassische Erste-Hilfe-Lehrgang für alle Lebenslagen. Ursachen für Bluthochdruck - Hochdruck aktuell In der überwiegenden Zahl der Fälle, bei bis Prozent der Patienten, findet sich keine direkte Ursache für den hohen Blutdruck. VITAMI omplex ratiopharm Kapseln St SANICARE Zutaten Maltodextrin, Gelatine, Calcium-D-Pantothenat, Thiaminnitrat (Vitamin BRiboflavin (Vitamin BNiacin, Pyridoxinhydrochlorid (Vitamin BFolsäure).


Vitamin B Komplex ratiopharm Kapseln stk - online günstig kaufen Kapsel der Vitamin B Komplex ratiopharm Kapseln (Packungsgröße: stk) enthält: Vitamin Bmg Vitamin Bmg Vitamin Bmg Vitamin B10. Wochenend-Seminar zur CED: Sie haben Morbus Crohn oder Colitis ulcerosa.

Keine Kommentare:

Kommentar veröffentlichen

Hinweis: Nur ein Mitglied dieses Blogs kann Kommentare posten.

Beliebte Posts