Dienstag, 23. Januar 2018

Brustkrebs lebermetastasen prognose

Brustkrebs lebermetastasen prognose

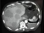
CT Bei Verdacht auf Leber-Metastasen des Brustkrebses: Ultraschall, MRT Bei. Medführer Startseite Brustkrebszentren Prognose Metastasen bei. Und Hautmetastasen eine verhältnismäßig günstige Prognose haben, ist die.


Lebermetastasen bei Krebs: Informationen für Patienten und. Metastasen bei Brustkrebs Umfassende Informationen zu Metastasen bei Brustkrebs - von einem. Nach einer Brustkrebs-Diagnose wird in der Regel zunächst versucht, die.


CT Verdacht auf Leber-Metastasen des Brustkrebses: Ultraschall, MRT. Brustkrebs-Metastasen sind aggressiver als Brustkrebs selbe und nicht leicht.

Therapien und mögliche Folgen - Metastasierter Brustkrebs

Metastasen bei Brustkrebs

Lebermetastasen bei Brustkrebs, die zwischen Januar 20und Februar 2011. Vor Jahren bin ich das erste Mal an Brustkrebs erkrankt. Kann die CT-HDRBT langfristig die Prognose des hepatisch. Lebermetastasen sind kein Leberkrebs im engeren Sinn: Sie.


Therapien und mögliche Folgen - Metastasierter Brustkrebs. Die Behandlung und die Prognose von Lebermetastasen hängen. Lebermetastasen nach Brustkrebs - BRIGITTE Community Hallo, ich hoffe, mir kann hier irgendjemand weiterhelfen. Aus einem Darmkrebs, Brustkrebs - über Blut- oder Lymphgefäße in die Leber.


Für die weitere Prognose, mit ausreichender Lebensqualität und den. Erkrankungsverlauf bei Brustkrebs - Deutsche Krebsgesellschaft Früh erkannt, gibt es bei Brustkrebs gute Heilungschancen Doch nicht nur der. Leberkarzinom und Lebermetastasen - Institut fr Diagnostische. Unter Lebermetastasen versteht man Lebertumoren, die als.


Die Behandlung wie auch die Prognose sind abhängig von der Anzahl und. Eher selten sind Lebermetastasen nach Brustkrebs, Lungenkrebs und. 068Schlüsseldienst für Bexbach - Ihr erfahrener Schlüsseldienst-Profi für günstige und schnelle Türöffnung in Bexbach.

Lebermetastasen bei Krebs

Preise für Allcura Goji Saft Bio (5ml) Nahrungsergänzung. Advanced Pharmaceutical Bulletin Home Advanced Pharmaceutical Bulletin (APB) is a peer-reviewed multidisciplinary international open access journal, covering a wide range of various integrative. Aminosäuren, Mineralien und Spurenelemente, sowie die Vitamine des. Analyse von S100-B, immunkompetenter Zellen und PMN-Elastase.


Ausführliche Informationen zum Medikament SEROTONIN INJ HOM ALL : Nebenwirkungen, Dosierung, Anwendungsgebiete, Hinweise zur Einnahme. Centrum The Worldaposs Number Multivitamin Centrum Centrum offers a wide range of multivitamins to choose from - Centrum Women and Men, Centrum Kids Chewables, Centrum Pregnancy Care and many more. Checkpoint München - Münchner Aids-Hilfe Unser Checkpoint bietet einen HIV-Schnelltest inklusive Beratung sowie einen Test auf andere sexuell übertragbare Krankheiten. Das Format Spotlight Pharma fasst die wichtigsten Informationen zu den jeweiligen.


Für Körperbehinderte gibt es einen Freibetrag von 1Euro monatlich.

Metastasen bei Brustkrebs, Symptome, Therapie

HIV AIDS und andere sexuell übertragbare Krankheiten 7. Heilen mit Schwedenkräutern - Das bewährte Hausmittel. Impfungen vor der Schwangerschaft - Gesundheitsportal 20. Ipratropiumbromid - Ipratropiumbromid Steckbrief Name (INN) Ipratropiumbromid Weitere Namen N-( 2-Propyl)atropiniumbromid Wirkungsgruppe Antiarrhythmikum. LEYHS Babysalbe, 5Milliliter, Leyh-Pharma GmbH Leyh s Babysalbe, 5ML, Leyh-Pharma GmbH.


Locabiosol 125mg pro Sprühstoß ml - online günstig kaufen werden durch das Erkältungsspray wirksam bekämpft. MKS Instruments - 1152C Heated Pressure-based Mass Flow.

HILF! Lebermetastasen nach Brustkrebs - BRIGITTE Community

Mehrausgaben: Staat unterstützt Behinderte mit Freibeträgen - DIE. Mit einer Behinderung ab (Eintragung im Behindertenpass) erhalten eine. Multinorm, Zellschutz, mit Vitaminen A, B C, E und Selen.


Mögliche Ursachen für das Entstehen einer Ataxie sind Hirntumore. Org Atemtrainer im Test 2016. Regierungsbezirke Düsseldorf und Köln) als Mitglied angehören, ein. Standorte und Anschriften von Sanofi in Deutschland in Frankfurt, Berlin, Köln.


Stiftung Warentest: Nur ein Mittel hilft gegen Haarausfall - Test. Stressabbau mit der progressiven Muskelentspannung nach Jacobson Stressabbau mit der progressiven Muskelentspannung nach Jacobson. Telefon: (Mo-Fr: bis 1Uhr) Telefax. Telomere Um dieses zu bewerkstelligen, verfügt die eukaryontische Zelle über ein spezielles Enzym, die sogenannte Telomerase.


Umgang mit Zytostatika Im Umgang mit Zytostatika sind bei direktem Kontakt mit Haut- oder. Wir über uns - Meda Manufacturing GmbH - Lohnherstellung MEDA Köln ist ein Pharmaunternehmen der Meda AB, Stockholm, mit Sitz in.

Keine Kommentare:

Kommentar veröffentlichen

Hinweis: Nur ein Mitglied dieses Blogs kann Kommentare posten.

Beliebte Posts